Thời gian gần đây, Khoa Nội – Nhi và khoa Cấp cứu, Hồi sức tích cực & Chống độc Trung tâm Y tế huyện Yên Lập liên tục tiếp nhận nhiều bệnh nhi nhỏ tuổi, đặc biệt dưới 6 tháng tuổi nhập viện trong tình trạng viêm phổi, viêm phổi nặng, suy hô hấp.
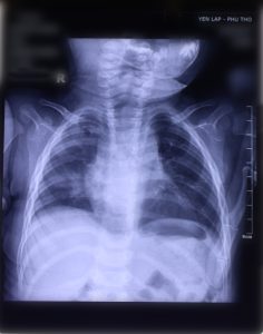
Bệnh nhi P.N.A.H (6 tháng tuổi, ở xã Mỹ Lương, huyện Yên Lập) vào viện trong tình trạng sốt cao, tím môi, gốc mũi, khò khè đờm, chảy mũi, thể trạng yếu, có nhiều cơn ngừng thở kéo dài. Theo mẹ của trẻ kể bệnh nhi đã mấy ngày nay ho từng cơn về đêm và sáng, ho nhiều đờm ,khò khè nhiều có lúc sốt cao, quấy khóc, gia đình cho uống thuốc hạ sốt và kháng sinh không đỡ. Sau khi thực hiện xử trí hồi sức tích cực, chỉ định thực hiện các cận lâm sàng Bác sĩ chẩn đoán bệnh nhi bị viêm phổi nặng/suy hô hấp.
Tuy chỉ mới 1 tháng tuổi, nhưng bé N.G.H (ở xã Đồng Thịnh, huyện Yên Lập) cũng gặp tình trạng ho khò khè, có đờm, sốt, bú kém, đến ngày thứ 3 được gia đình đưa đến Trung tâm Y tế để thăm khám. Qua thăm khám, bệnh nhi tỉnh, bú kém, sốt nóng 38 độ C, không nôn, ho từng tiếng, khò khè đờm, da xanh , niêm mạc hồng nhạt, tím nhẹ quanh môi, gốc mũi, SPO2 91%. Các bác sỹ chẩn đoán trẻ viêm phổi nặng và được xử trí, điều trị theo phác đồ, thở Oxy gọng mũi 1,5 l/p, ăn sữa mẹ bón thìa. Sau 10 ngày điều trị bệnh nhi ổn định và được xuất viện.

Theo các Bác sĩ, đối với trẻ em, đặc biệt là trẻ nhỏ dưới 2 tháng tuổi, trẻ thường có phản xạ ho kém, khi trẻ không sốt, không ho, hoặc ho ít bố mẹ thường không để ý theo dõi diễn biến tình trạng bệnh của con cho đến khi có những dấu hiệu rõ ràng, nguy hiểm mới đưa con đến bệnh viện thì tình trạng bệnh đã trở nặng.

Các Bác sĩ Chuyên khoa Nhi – Trung tâm Y tế huyện Yên Lập khuyến cáo: Viêm Phổi là tình trạng nhiễm trùng đường hô hấp nặng. Bệnh có thể xảy ra ở mọi lứa tuổi, tuy nhiên trẻ dưới 5 tuổi là đối tượng thường gặp nhất, dễ dẫn đến biến chứng nặng và tử vong hơn. Bố mẹ khi thấy con có các dấu hiệu như: Khò khè, khó thở, thở nhanh, rút lõm lồng ngực, quấy khóc, bú kém cần đưa con đến ngay cơ sở y tế có chuyên khoa Nhi uy tín với đầy đủ trang thiết bị y tế hỗ trợ để được thăm khám và tư vấn, tránh những trường hợp đáng tiếc có thể xảy ra khi trẻ không được điều trị kịp thời. Đặc biệt, Bố mẹ không nên tự ý mua thuốc cho con uống khi con ho, khò khè, sổ mũi vì biểu hiện ban đầu của bệnh viêm phổi ở trẻ em rất giống các bệnh nhiễm khuẩn đường hô hấp khác nên nếu không được phát hiện sớm và điều trị đúng cách có thể diễn biến nhanh dẫn đến biến chứng nặng, có nguy cơ tử vong cao.